症例紹介

19歳・男性

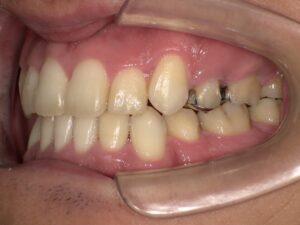
ガタツキと前歯の噛み合わせを改善

  • 治療前
    矯正治療前
  • 治療後
    矯正治療前

治療前(側面)

 

治療後(側面)

 

治療前(スマイル)

 

治療後(スマイル)

 

 

主訴:ガタツキと前歯の噛み合わせ

診断名:叢生を伴う骨格性下顎前突

治療区分:本格矯正治療(大人の矯正治療)

抜歯部位:上下顎両側第一小臼歯

使用装置:マルチブラケット装置

治療期間:1年8カ月

治療費:825,000円

起こりうるリスク:歯根吸収、歯肉退縮、知覚過敏、歯髄充血

  • 個々の患者様の状態により治療内容、結果は異なります。
  • 矯正治療により以下のようなリスクを伴う場合もございます。
    • 最初は矯正装置による不快感、痛み等があります。数日間から1~2週間で慣れることが多いです。
    • 歯の動き方には個人差があります。そのため、予想された治療期間が延長する可能性があります。
    • 装置の使用状況、顎間ゴムの使用状況、定期的な通院等、矯正治療には患者様の協力が非常に重要であり、それらが治療結果や治療期間に影響します。
    • 治療中は、装置が付いているため歯が磨きにくくなります。むし歯や歯周病のリスクが高まりますので、丁寧に磨いたり、定期的なメンテナンスを受けたりすることが重要です。また、歯が動くと隠れていたむし歯が見えるようになることもあります。
    • 歯を動かすことにより歯根が吸収して短くなることがあります。また、歯ぐきがやせて下がることがあります。
    • ごくまれに歯が骨と癒着していて歯が動かないことがあります。
    • ごくまれに歯を動かすことで神経が障害を受けて壊死することがあります。
    • 治療途中に金属等のアレルギー症状が出ることがあります。
    • 治療中に「顎関節で音が鳴る、あごが痛い、口が開けにくい」などの顎関節症状が出ることがあります。
    • 様々な問題により、当初予定した治療計画を変更する可能性があります。
    • 歯の形を修正したり、咬み合わせの微調整を行ったりする可能性があります。
    • 矯正装置を誤飲する可能性があります。
    • 装置を外す時に、エナメル質に微小な亀裂が入る可能性や、かぶせ物(補綴物)の一部が破損する可能性があります。
    • 装置が外れた後、保定装置を指示通り使用しないと後戻りが生じる可能性が高くなります。
    • 装置が外れた後、現在の咬み合わせに合った状態のかぶせ物(補綴物)やむし歯の治療(修復物)などをやりなおす可能性があります。
    • あごの成長発育によりかみ合わせや歯並びが変化する可能性があります。
    • 治療後に親知らずが生えて、凸凹が生じる可能性があります。加齢や歯周病等により歯を支えている骨がやせるとかみ合わせや歯並びが変化することがあります。その場合、再治療等が必要になることがあります。
    • 矯正歯科治療は、一度始めると元の状態に戻すことは難しくなります。
  • 実際に治療を開始する際には精密検査を行なった上で治療内容の詳細なご説明をさせて頂き、十分にご納得頂いた上で治療を進めてまいります。
  • 矯正相談では口腔内の状態を確認した上で、現在の状態、治療の概要、使用する装置、費用などについてご説明させて頂きます。
    まずはお気軽にご相談ください。