症例紹介
当院で矯正治療をされた方の治療前後の写真をまとめました。
矯正を始めようかお悩みの方のご参考になれば幸いです。
矯正治療は不安な事や分からない事が多いかと思いますので、お気軽にご相談ください。
-
治療前 
治療後 
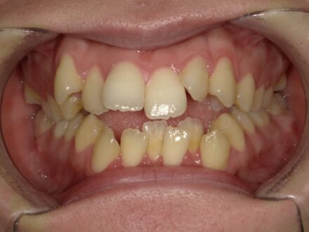
22歳・女性
開咬と重度のガタツキを改善
治療前(右側面) 治療後(右側面) 治療前(スマイル) 治療後(スマイル) 主訴:ガタツキと噛み合わせが気になる診断名...
-
治療前 
治療後 
41歳・女性
すきっ歯と噛み合わせを改善
治療前(側面)治療後(側面) 治療前(スマイル) 治療後(スマイル) 主訴:すきっ歯と嚙み合わせが気になる診断名:正中離...
-
治療前 
治療後 
15歳・女性
八重歯と正中のずれを改善
治療前(右側面) 治療後(右側面) 治療前(スマイル) 治療後(スマイル) 主訴:八重歯や前歯のガタツキと正中のずれ診断...
-
治療前 
治療後 
29歳・女性
前歯のガタツキと出っ歯感を改善
治療前(側面) 治療後(側面) 治療前(側貌) 治療後(側貌) 主訴:前歯のガタツキと出っ歯感診断名:叢生を伴う歯槽性上...
-
治療前 
治療後 
14歳・女性
出っ歯感とガタツキを改善
治療前(右側面) 治療後(右側面) 主訴:出っ歯感と前歯のガタつきが気になる診断名:叢生を伴う歯槽性上顎前突治療区分:本...
-
治療前 
治療後 
24歳・女性
前歯のガタツキと突出感の改善
治療前(右側面) 治療後(右側面) 治療前(側貌) 治療後(側貌) 主訴:前歯のガタツキと口元の閉じにくさ診断名:叢生を...
-
治療前 
治療後 
18歳・女性
前歯のガタツキと嚙み合わせを改善
治療前(側面) 治療後(側面) 治療前(スマイル) 治療後(スマイル) 主訴:歯並びのガタツキ診断名:叢生と開咬を伴う...
-
治療前 
治療後 
25歳・女性
ガタツキと出っ歯感を改善
側面(治療前) 側面(治療後) 主訴:前歯のガタつきと出っ歯感が気になる診断名:叢生を伴う歯槽性上顎前突治療区分:本格矯...
-
治療前 
治療後 
23歳・女性
過蓋咬合を改善
治療前(側面) 治療後(側面) 主訴:前歯のガタツキと噛み合わせ診断名:過蓋咬合と叢生を伴う骨格性上顎前突治療区分:本...
-
治療前 
治療後 
19歳・女性
八重歯を改善
治療前(側面) 治療後(側面) 治療前(スマイル) 治療後(スマイル) 主訴:八重歯や歯並びのガタツキ診断名:叢生(上...
-
治療前 
治療後 
21歳・女性
口元の突出感を改善
治療前(側貌) 治療後(側貌) 治療前(正面) 治療後(正面) 主訴:口元の突出感が気になる診断名:歯槽性上下顎前突治療...
-
治療前 
治療後 
24歳・女性
前歯のガタツキと突出感を改善
治療前(側面) 治療後(側面) 主訴:前歯のガタつきと突出感が気になる診断名:叢生を伴う歯槽性上顎前突治療区分:本格矯...
-
治療前 
治療後 
33歳・女性
前歯のガタツキと突出感を改善
治療前(側面) 治療後(側面) 主訴:前歯のガタつきと突出感が気になる診断名:叢生を伴う骨格性上顎前突治療区分:本格矯...
-
治療前 
治療後 
19歳・女性
受け口とガタツキを改善
治療前(側面) 治療後(側面) 治療前(スマイル) 治療後(スマイル) 主訴:受け口と歯並びのガタツキ診断名:叢生を伴...
-
治療前 
治療後 
17歳・男性
前歯のガタツキと出っ歯感を改善
治療前(左側面) 治療後(左側面) 主訴:前歯のガタツキと上の歯の突出感診断名:叢生を伴う歯槽性上顎前突治療区分:本格...
-
治療前 
治療後 
30歳・女性
前歯のガタツキと噛み合わせを改善
治療前(側面) 治療後(側面) 主訴:前歯のガタツキと嚙み合わせが気になる診断名:叢生を伴う骨格性下顎前突治療区分:...
-
治療前 
治療後 
16歳・女性
反対咬合とガタツキを改善
治療前(側面) 治療後(側面) 主訴:反対咬合(受け口)と前歯のガタツキが気になる診断名:叢生を伴う骨格性下顎前突治...
-
治療前 
治療後 
23歳・女性
口元の突出感、前歯のガタツキを改善
治療前(側面) 治療後(側面) 治療前(側貌) 治療後(側貌) 主訴:ガタツキと口元の突出感診断名:叢生を伴う歯槽性上...
-
治療前 
治療後 
24歳・女性
八重歯と噛み合わせを改善
治療前(側面) 治療後(側面) 主訴:八重歯と前歯の嚙み合わせを治したい診断名:叢生を伴う骨格性上顎前突治療区分:本格...
-
治療前 
治療後 
19歳・男性
ガタツキと前歯の噛み合わせを改善
治療前(側面) 治療後(側面) 治療前(スマイル) 治療後(スマイル) 主訴:ガタツキと前歯の噛み合わせ診断名:叢生を...
- 個々の患者様の状態により治療内容、結果は異なります。
- 矯正治療により以下のようなリスクを伴う場合もございます。
- 最初は矯正装置による不快感、痛み等があります。数日間から1~2週間で慣れることが多いです。
- 歯の動き方には個人差があります。そのため、予想された治療期間が延長する可能性があります。
- 装置の使用状況、顎間ゴムの使用状況、定期的な通院等、矯正治療には患者様の協力が非常に重要であり、それらが治療結果や治療期間に影響します。
- 治療中は、装置が付いているため歯が磨きにくくなります。むし歯や歯周病のリスクが高まりますので、丁寧に磨いたり、定期的なメンテナンスを受けたりすることが重要です。また、歯が動くと隠れていたむし歯が見えるようになることもあります。
- 歯を動かすことにより歯根が吸収して短くなることがあります。また、歯ぐきがやせて下がることがあります。
- ごくまれに歯が骨と癒着していて歯が動かないことがあります。
- ごくまれに歯を動かすことで神経が障害を受けて壊死することがあります。
- 治療途中に金属等のアレルギー症状が出ることがあります。
- 治療中に「顎関節で音が鳴る、あごが痛い、口が開けにくい」などの顎関節症状が出ることがあります。
- 様々な問題により、当初予定した治療計画を変更する可能性があります。
- 歯の形を修正したり、咬み合わせの微調整を行ったりする可能性があります。
- 矯正装置を誤飲する可能性があります。
- 装置を外す時に、エナメル質に微小な亀裂が入る可能性や、かぶせ物(補綴物)の一部が破損する可能性があります。
- 装置が外れた後、保定装置を指示通り使用しないと後戻りが生じる可能性が高くなります。
- 装置が外れた後、現在の咬み合わせに合った状態のかぶせ物(補綴物)やむし歯の治療(修復物)などをやりなおす可能性があります。
- あごの成長発育によりかみ合わせや歯並びが変化する可能性があります。
- 治療後に親知らずが生えて、凸凹が生じる可能性があります。加齢や歯周病等により歯を支えている骨がやせるとかみ合わせや歯並びが変化することがあります。その場合、再治療等が必要になることがあります。
- 矯正歯科治療は、一度始めると元の状態に戻すことは難しくなります。
- 実際に治療を開始する際には精密検査を行なった上で治療内容の詳細なご説明をさせて頂き、十分にご納得頂いた上で治療を進めてまいります。
- 矯正相談では口腔内の状態を確認した上で、現在の状態、治療の概要、使用する装置、費用などについてご説明させて頂きます。
まずはお気軽にご相談ください。