- 島歯科ブログ
今からでも矯正できる?
こんにちは
院長の島です。
⠀
2月も終わりが近づき、雪も溶け、 ぐっと春が近づいてきた感じがしますね

先週の晴れた朝には子供と軽くジョギングしたりと、
寒さが緩むと体も軽くなったように感じます

⠀

⠀
暖かくなってくると、やりたいことも増えてきます!
口元に悩みを感じている方ですと、 歯並びの矯正治療を検討させる方も多いかと思います

⠀
中には今さら矯正治療なんて難しいだろうな…
とあきらめている方もいらっしゃるのではないでしょう?

⠀
なぜか、
矯正治療は子供がやるイメージ、
若いうちじゃないと歯は動かないイメージ
を持たれてる方も多いようですが…
⠀
全くそんなことはありません

⠀
基本的には矯正治療に年齢制限はございません!
⠀
当院でも30〜50代はもちろんのこと、 60代の方も矯正治療を受けておられます。
⠀
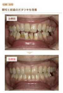
〜当院での60代の矯正治療症例〜
⠀

⠀
・下前歯のガタツキにより多量の歯石沈着、 歯周病の進行がありましたが、
矯正後は清掃性が改善して健康な歯茎になりました。
⠀
症例概要
主訴:下前歯のガタツキと前歯が噛めない
診断名:開と叢生を伴う骨格性下顎前突
治療区分:本格矯正治療(大人の矯正治療)
抜歯部位:非抜歯
使用装置:マウスピース型矯正装置
治療期間:12カ月
治療費:990,000円
起こりうるリスク:歯根吸収、歯肉退縮、知覚過敏、歯髓充血
⠀
⠀
むしろ最近では目立ちにくい装置なども利用できるため、
⠀
「これなら私も続けられそう」
「若い頃は怖くてあきらめていけど、やっぱり治したい!」
⠀
と年齢に関係なく矯正を始められる方が多いようです

⠀
矯正治療で大切となるのは歯や歯肉、 骨などの歯周組織の状態です

⠀
年を重ねることで、歯周病の悪化や歯の状態が悪い( 歯が欠損している)などのリスクも高くなるため、 矯正治療が難しくなる場合がございます

⠀
ただし、
歯の状態に関してはご年配の方でもとても良好な状態の方もいれば 、
お若い方でも直ぐには矯正治療が困難な歯や歯肉の状態の方もいま すので、
年齢によって治療ができないということではありません!
⠀
さらに、歯周組織の状態が良くない場合にも
治療範囲を制限したり、
治療計画を工夫したり、
定期的な予防処置や一般歯科医院様と連携して、 口腔状態を改善してから矯正を始めるなどの方法も可能です

⠀
そしてなにより、前述した症例のように、
矯正治療で歯並びを改善することで
それ自体が虫歯や歯周病の予防につながり、
結果的に歯の健康寿命が伸びます!

噛み合わせの改善により全身状態の改善につながるケースもござい ます

⠀
⠀
1番の矯正治療のタイミングは本人が治したいと感じた時だと思い ます

⠀
⠀
どのような年齢、どのような症状でも、 その方に適した方法をご提案させていただきますので、ぜひ、お気軽にご相談ください♪
⠀